请输入关键字
全站导航
科室新闻
【精准检测新突破 胃癌治疗新选择】 ——我中心病理科正式开展Claudin 18.2免疫组化检测
一、检测背景随着全球首款靶向Claudin18.2(CLDN18.2)的抗体药物佐妥昔单抗在国内外上市,胃癌治疗进入精准靶向新时代。中国临床肿瘤学会(ChineseSocietyofClinicalOncology,CSCO)、美国国立综合癌症网络(NationalComprehensiveCancerNetwork,NCCN)、欧洲肿瘤内科学会(EuropeanSocietyofMedicalOncology,ESMO)等权威指南以及《胃癌Claudin18.2临床检测专家共识(2025版)》均推荐对胃/胃食管交界处(Gastroesophagealjunction,GEJ)腺癌进行CLDN18.2检测,为精准筛选靶向治疗获益人群提供关键依据,为晚期胃癌患者带来新的生存希望[1-3]。研究证实约40%的胃/GEJ腺癌患者为CLDN18.2阳性表达,提示这部分患者可能从靶向治疗中获益,其中接受佐妥昔单抗联合化疗方案的患者,疾病进展或死亡风险降低25%至31%,显著延长无进展生存期和总生存期。在胃癌的临床实践中,CLDN18.2免疫组织化学(immunohistochemistry,IHC)检测已成为评估抗CLDN18.2靶向治疗适用性的重要手段。二、适用人群(主要包括但不限于)初治晚期胃/胃食管交界处腺癌患者;HER2阴性寻求新靶向治疗机会者;传统治疗效果不佳的难治性患者。三、技术保障检测抗体:Claudin18.2(43-14A)。检测平台:Ventana全自动免疫组化仪。判读标准:严格按照《胃癌Claudin18.2临床检测专家共识(2025版)》强推荐的判读标准,将≥75%的肿瘤细胞具有2+/3+强度膜染色判读为阳性/高表达,并出具明确的阳性/阴性及具体表达水平的报告,如“Claudin18.2阳性(3+,90%)”、“Claudin18.2阴性(2+,30%)”等。四、检测结果判读示例图①-④胃腺癌肿瘤细胞及周围正常黏膜腺体Claudin18.2的表达情况①非肿瘤性胃黏膜腺体(右半部分)为细胞膜强阳性着色,肿瘤细胞(左半部分)呈2+细胞膜环形阳性着色;②非肿瘤性胃黏膜腺体(右半部分)为细胞膜强阳性着色,肿瘤细胞(左半部分)呈2+细胞膜基底外侧/外侧阳性着色;③、④肿瘤细胞呈3+细胞膜环形阳性着色参考文献:《胃癌Claudin18.2临床检测专家共识(2025版)》专家委员会.胃癌Claudin18.2临床检测专家共识(2025版)[J].中华病理学杂志,2025;54(7):718-725.doi:10.3760/cma.j.cn112151-20250408-00245.ShitaraK,LordickF,BangYJ,etal.ZolbetuximabplusmFOLFOX6inpatientswithCLDN18.2-positive,HER2-negative,untreated,locallyadvancedunresectablemetastaticgastricgastro-oesophagealjunctionadenocarcinoma(SPOTLIGHT):amulticentre,randomised,double-blind,phase3trial.Lancet,2023;402(10398):1655-1668.PMID:37068504.doi:10.1016/S0140-6736(23)00620-7.ShahMA,ShitaraK,AjaniJA,etal.ZolbetuximabplusCAPOXinCLDN18.2-positivegastricgastroesophagealjunctionadenocarcinoma:therandomized,phase3GLOWtrial.NatMed,2023;29(8):2133-2141.PMID:37524953.doi:10.1038/s41591-023-02465-7.备注:本文在成稿后经由元宝大语言模型进行语言润色与逻辑优化,旨在提升表达的准确性与流畅性,核心观点与内容均由作者独立完成。‌‌
2025.07
01
【精准施治 精准抗癌】 ——我中心病理科正式开展尿路上皮癌PD-L1(SP263)免疫组化检测
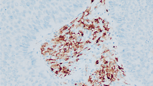
尿路上皮癌是泌尿系统最常见的恶性肿瘤之一,其肌层浸润性和转移性病例预后较差,传统治疗手段存在一定局限性。随着医学研究的突破性进展,针对程序性细胞死亡蛋白1/程序性死亡配体1(ProgrammedcellDeathprotein1/ProgrammedDeathLigand1,PD-1/PD-L1)免疫检查点的靶向治疗已成为该领域的重要突破口。最新临床数据显示,PD-L1高表达患者接受免疫治疗的客观缓解率显著提升,尤其为晚期及复发患者带来新的治疗希望[1-2]。我中心病理科依托国际标准化检测平台,引进并正式开展“尿路上皮癌PD-L1(SP263)免疫组化检测”。该检测通过精准识别肿瘤微环境中的PD-L1蛋白表达水平,可为临床提供以下关键价值:筛选免疫治疗优势人群;制定个体化用药方案;预测治疗效果及预后;指导围手术期综合治疗。【适用人群】根据权威指南,以下人群是检测重点[3]:经病理确诊的浸润性尿路上皮癌患者;局部晚期/远处转移性尿路上皮癌患者;肌层浸润性尿路上皮癌复发病例;铂类化疗失败需切换免疫治疗的进展期患者;术前评估新辅助治疗方案的早期患者。【技术保障】检测平台:采用Ventana全自动免疫组化仪。检测抗体:兔抗PD-L1单克隆抗体(克隆号SP263)。质控体系:同时设置阳性及阴性对照,以正常胎盘组织作为阳性对照。专业团队:持证病理技师及医师规范制片、规范判读诊断。【典型检测结果示例】图①-③膀胱浸润性尿路上皮癌中PD-L1(SP263)的表达情况,Ventana-IHCx200①示肿瘤细胞呈PD-L1阴性/低表达状态,;②示PD-L1阳性/高表达状态,≥25%肿瘤细胞呈胞膜阳性;③示PD-L1阳性/高表达状态,≥25%肿瘤相关免疫细胞呈胞膜和/或胞浆阳性。参考文献PlimackER,BellmuntJ,GuptaS,etal.Safetyactivityofpembrolizumabinpatientswithlocallyadvancedmetastaticurothelialcancer(KEYNOTE-012):anon-randomised,open-label,phase1bstudy[J].LancetOncol,2017,18(2):212‐220.BellmuntJ,deWitR,VaughnDJ,etal.Pembrolizumabassecond‐linetherapyforadvancedurothelialcarcinoma[J].NEnglJMed,2017,376(11):1015‐1026.PowlesT,O′DonnellPH,MassardC,etal.Efficacysafetyofdurvalumabinlocallyadvancedmetastaticurothelialcarcinoma:updatedresultsfromaphase1/2open-labelstudy[J].JAMAOncol,2017,3(9):e172411.肖雨,滕晓东,赵明等.尿路上皮癌PD⁃L1(SP263)免疫组织化学检测病理专家共识.中华病理学杂志,2020;49(11):1102-1107.备注:本文在成稿后经由元宝大语言模型进行语言润色与逻辑优化,旨在提升表达的准确性与流畅性,核心观点与内容均由作者独立完成。‌‌
2024.11
01
【靶向治疗先行者 基因检测金标准】 ——我中心病理科正式开展HER-2基因FISH检测
一、检测价值:精准医疗的"导航仪"在肿瘤精准治疗时代,人表皮生长因子受体2(HumanEpidermalgrowthfactorReceptor2,HER-2)已成为关键治疗靶点。从曲妥珠单抗、帕妥珠单抗等经典单抗,到T-DM1、T-DXd等新型抗体偶联药物(Antibodydrugconjugates,ADC),针对HER-2的靶向药物为众多患者带来生机。准确检测HER-2状态,是开启靶向治疗的“生命钥匙”。二、适检人群:六大癌种全面覆盖根据权威指南,以下人群是检测重点:乳腺癌:​所有原发性浸润性癌、新辅助治疗后肿瘤残留以及局部复发/转移性病例等;胃癌:​经病理确诊的胃腺癌,包括新辅助治疗后及局部复发/转移性病例等;尿路上皮癌:​中高危非肌层浸润性、所有肌层浸润性及晚期/局部复发/转移性病例等;非小细胞肺癌:​初诊或疾病进展性非小细胞肺癌;妇科肿瘤:​初诊的高级别浆液性癌、p53突变型子宫内膜癌等;进展期/难治复发的子宫内膜癌、卵巢癌、宫颈癌等;结直肠癌:​转移性结直肠癌的手术或活检标本。三、检测路径:双步法精准判读第一步:免疫组化(Immunohistochemistry,IHC)初筛IHC3+:判定为HER-2阳性;IHC0/1+:判定为阴性/低表达;IHC2+:结果不确定,需进一步行荧光原位杂交(Fluorescenceinsituhybridization,FISH)检测。第二步:FISH检测终判FISH检测直接观察细胞核内HER-2基因拷贝数,为IHC2+病例提供“终审判决”:基因扩增:判定为HER-2阳性,靶向治疗获益显著;无扩增:判定为HER-2阴性/低表达。四、技术保障:金标准质控体系检测资质产品名称:HER2基因检测试剂盒(荧光原位杂交法)注册证号:国械注准20213400138硬件平台检测平台:全自动荧光原位杂交系统判读平台:LeicaCytoVision®荧光原位杂交图像分析系统质控标准双人独立判读,疑难病例专家复核定期室内及室间质评,确保结果准确性五、临床意义:从检测到治疗的精准桥梁FISH检测突破IHC检测的不确定性,为临床提供:明确靶向治疗适用人群指导个体化用药方案预测治疗效果与预后避免医疗资源浪费六、典型检测结果示例图1-4.乳腺浸润性癌HER-2基因FISH检测结果:1簇状扩增;2点状扩增;3灰区状态;4无扩增七、结语在常规组织形态学及HER-2免疫组化染色的基础上,通过规范、精准的FISH检测,我们致力于为每一位患者提供可靠的诊断依据,让精准治疗真正惠及生命。参考文献《乳腺癌HER2检测指南(2024版)》《2025年CSCO胃癌诊疗指南》《尿路上皮癌人表皮生长因子受体2免疫组织化学检测临床病理专家共识(2026版)》《HER2变异晚期非小细胞肺癌诊疗专家共识(2025版)》《妇科恶性肿瘤人表皮生长因子受体2病理检测指南(2024年版)》《2025年CSCO结直肠癌诊疗指南》备注:本文在成稿后经由元宝大语言模型进行语言润色与逻辑优化,旨在提升表达的准确性与流畅性,核心观点与内容均由作者独立完成。‌‌
2024.05
04
【BRAF V600E检测 甲状腺癌个体化护航】 ——我中心病理科正式开展甲状腺癌BRAF V600E基因检测
一、检测意义:甲状腺癌诊疗的"分水岭"BRAFV600E突变是甲状腺乳头状癌(PapillaryThyroidCarcinoma,PTC)最重要的分子标志物,发生率约为50%-80%。该突变与肿瘤侵袭性及淋巴结转移风险相关,是靶向治疗的"通行证"。因此,规范化开展BRAFV600E检测,有助于实现甲状腺癌的精准诊断、个体化治疗与科学预后管理。二、临床价值:从诊断到治疗的全程指导诊断分层价值辅助不典型病变的诊断与鉴别诊断预测肿瘤侵袭性、多灶性与复发风险指导手术范围与清扫策略治疗决策价值​突变型病例:BRAF抑制剂(达拉非尼)+MET抑制剂(曲美替尼)有效率超60%野生型病例:追加其他相关基因检测,避免不必要的靶向治疗,选择更适合的治疗方案放射性碘治疗:预测疗效,指导131I治疗决策预后评估价值BRAFV600E突变型患者无病生存期缩短30%-40%;远处转移风险增加2-3倍个体化的随访方案制定的重要依据三、技术优势采用ADx-ARMS荧光PCR法灵敏度>99%,特异性>99%内参质控,确保结果准确性自动化检测,最大限度减少人为误差四、结语依托病理科专业团队与标准化平台,我们致力于为每一位甲状腺癌患者提供准确、可靠的BRAFV600E检测服务,让分子诊断真正赋能临床实践,助力个体化精准医疗,切实提高患者生存与生活质量。参考文献中华人民共和国国家卫生健康委员会.甲状腺癌诊疗规范(2018年版)[J/CD].中华普通外科学文献(电子版),2019,13(1):1-15.MaysonSE,HaugenBR.Moleculardiagnosticevaluationofthyroidnodules[J].EndocrinolMetabClinNorthAm,2019,48(1):85-97.广东省医学教育协会甲状腺专业委员会,广东省基层医药学会细胞病理与分子诊断专业委员会.甲状腺癌基因检测与临床应用广东专家共识(2020版)[J/CD].中华普通外科学文献(电子版),2020,14(3):161-168.中国抗癌协会甲状腺癌专业委员会.中国抗癌协会甲状腺癌整合诊治指南(2022精简版)[J].中国肿瘤临床,2023,50(7):325-330.备注:本文在成稿后经由元宝大语言模型进行语言润色与逻辑优化,旨在提升表达的准确性与流畅性,核心观点与内容均由作者独立完成。‌‌
2024.04
02
【一检测尽览11基因,精准开启肺癌治疗新篇章】​ ——我中心病理科开展非小细胞肺癌多基因联检,助力个体化精准靶向治疗
一、肺癌精准治疗,从基因检测开始肺癌是我国发病率和死亡率最高的恶性肿瘤,其中非小细胞肺癌(non-smallcelllungcancer,NSCLC)占80%-85%。随着靶向药物不断涌现,基因检测已成为NSCLC诊疗的“标准配置”。我中心近期正式开展的人类肺癌11种突变基因检测,一次性覆盖NSCLC核心驱动基因,涵盖突变、融合、跳跃突变等多种变异类型,真正实现“一次检测,全面评估”,为患者争取最佳治疗时机及治疗方案。二、11基因全覆盖,关键靶点无遗漏本项目同步检测以下关键基因,全面指导临床用药:基因突变(4种)​EGFR、HER2、KRAS、BRAF基因融合(6种)​ALK、ROS1、RET、NTRK1/2/3跳跃突变(1种)​MET外显子14跳跃突变覆盖靶向药物包括:克唑替尼、塞瑞替尼、卡马替尼、谷美替尼、奥希替尼等主流酪氨酸激酶抑制剂(tyrosinekinaseinhibitors,TKIs)药物,为患者提供丰富用药选择。临床意义见下表:三、技术保障及技术优势:检测方法:ADx-ARMS®高灵敏度多重荧光PCR法质控标准:同时设置内控、阳性对照及阴性对照;双人独立判读,疑难病例专家复核;定期室内及室间质评,确保结果准确性技术优势:同步检测:DNA与RNA同步提取检测,提升融合基因检出率;样本节约:仅需少量福尔马林固定石蜡包埋组织,避免反复取样;快速出结果:操作简便,报告周期短,助力临床快速决策;稳定性强:基于多重荧光PCR技术,结果可靠重复性高。四、检测结果示例及可视化图1.肺癌11基因检测之RNA融合基因:左上为阴性对照;左下为阳性对照;中、右上为HEX内控;中下为样本阴性,右下为样本阳性,MET基因融合阳性。图2.肺癌11基因之DNA突变基因:左上为阴性质控;左下为阳性质控;中上、下为样本阴性,未见突变;右上、下为样本阳性,EGFR19del突变。五、携手精准医疗,点亮生命希望肺癌已进入“精准检测指导精准治疗”的时代。11基因联检作为高效、全面的分子检测方案,正成为NSCLC患者的标准检测路径。早检测、早匹配、早获益,让我们共同为NSCLC患者铺就个体化治疗之路。参考文献《非小细胞肺癌融合基因检测临床实践中国专家共识2023版》《基于实时荧光定量PCR技术的肿瘤分子病理检测临床实践中国专家共识2023版》《非小细胞肺癌分子病理检测临床实践指南》(2021版)《中国非小细胞肺癌患者表皮生长因子受体基因突变检测专家共识》(2016版)《中国表皮生长因子受体基因敏感性突变和间变淋巴瘤激酶融合基因阳性非小细胞肺癌诊断治疗指南》(2015版)《人类肺癌11种突变基因检测试剂盒(多重荧光PCR法)说明书》备注:本文在成稿后经由元宝大语言模型进行语言润色与逻辑优化,旨在提升表达的准确性与流畅性,核心观点与内容均由作者独立完成。‌‌
2024.04
01
1 2 3