尿路上皮癌是泌尿系统最常见的恶性肿瘤之一,其肌层浸润性和转移性病例预后较差,传统治疗手段存在一定局限性。随着医学研究的突破性进展,针对程序性细胞死亡蛋白1/程序性死亡配体1(Programmed cell Death protein 1/Programmed Death Ligand 1,PD-1/PD-L1)免疫检查点的靶向治疗已成为该领域的重要突破口。最新临床数据显示,PD-L1高表达患者接受免疫治疗的客观缓解率显著提升,尤其为晚期及复发患者带来新的治疗希望[1-2]。
我中心病理科依托国际标准化检测平台,引进并正式开展“尿路上皮癌PD-L1(SP263)免疫组化检测”。该检测通过精准识别肿瘤微环境中的PD-L1蛋白表达水平,可为临床提供以下关键价值:
- 筛选免疫治疗优势人群;
- 制定个体化用药方案;
- 预测治疗效果及预后;
- 指导围手术期综合治疗。
【适用人群】根据权威指南,以下人群是检测重点[3]:
- 经病理确诊的浸润性尿路上皮癌患者;
- 局部晚期/远处转移性尿路上皮癌患者;
- 肌层浸润性尿路上皮癌复发病例;
- 铂类化疗失败需切换免疫治疗的进展期患者;
- 术前评估新辅助治疗方案的早期患者。
【技术保障】
- 检测平台:采用Ventana全自动免疫组化仪。
- 检测抗体:兔抗PD-L1单克隆抗体(克隆号SP263)。
- 质控体系:同时设置阳性及阴性对照,以正常胎盘组织作为阳性对照。
- 专业团队:持证病理技师及医师规范制片、规范判读诊断。
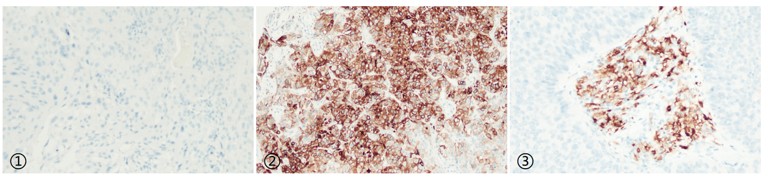
【典型检测结果示例】

图①-③ 膀胱浸润性尿路上皮癌中PD-L1(SP263)的表达情况,Ventana-IHCx200 ① 示肿瘤细胞呈PD-L1阴性/低表达状态,;② 示PD-L1阳性/高表达状态,≥25%肿瘤细胞呈胞膜阳性;③ 示PD-L1阳性/高表达状态,≥25%肿瘤相关免疫细胞呈胞膜和/或胞浆阳性。
参考文献
- Plimack ER, Bellmunt J, Gupta S, et al. Safetyactivity of pembrolizumab in patients with locally advancedmetastatic urothelial cancer (KEYNOTE-012): a non-randomised, open-label, phase 1b study[J]. Lancet Oncol, 2017, 18(2): 212‐220.
- Bellmunt J, de Wit R, Vaughn DJ, et al.Pembrolizumab as second‐line therapy for advanced urothelial carcinoma[J]. N Engl J Med, 2017, 376(11): 1015‐1026.
- Powles T, O′Donnell PH, Massard C, et al. Efficacysafety of durvalumab in locally advancedmetastatic urothelial carcinoma: updated results from a phase 1/2 open-label study[J].JAMA Oncol, 2017, 3(9):e172411.
- 肖雨,滕晓东,赵明等. 尿路上皮癌PD⁃L1(SP263)免疫组织化学检测病理专家共识. 中华病理学杂志, 2020; 49(11): 1102-1107.
备注:本文在成稿后经由元宝大语言模型进行语言润色与逻辑优化,旨在提升表达的准确性与流畅性,核心观点与内容均由作者独立完成。