请输入关键字
全站导航
科室新闻
【精准检测,点亮结直肠癌治疗新希望】​ ——我中心病理科正式开展KNBP四基因联合检测,为个体化治疗保驾护航
引言结直肠癌作为常见的恶性肿瘤之一,其诊疗已进入个体化精准医疗时代。分子检测在提升诊断准确性、指导靶向治疗、监测疾病进展及评估预后方面发挥着不可或缺的作用。国内外权威指南(如CSCO、NCCN)明确推荐,所有确诊的结直肠癌患者,特别是局部晚期及转移性病例,均应接受规范的分子检测,以优化治疗决策。其中,KRAS、NRAS、BRAF和PIK3CA(简称KNBP)四基因的联合检测,已成为结直肠癌分子分型的基石。检测意义与基因突变概述KNBP四基因联合检测通过同步评估EGFR下游关键信号通路(RAS-RAF-MAPK和PI3K-AKT),全面覆盖结直肠癌的热点突变。各基因在结直肠癌中的突变率分别为:KRAS(20%-50%)、NRAS(1%-6%)、BRAF(8%-15%)及PIK3CA(10%-30%)。这些突变与肿瘤侵袭性、复发风险增加及预后不良显著相关。联合检测不仅能筛选靶向治疗获益人群,还可避免无效治疗,节约医疗成本与时间。基因突变的临床意义KRAS突变:提示抗EGFR单抗(如西妥昔单抗、帕尼单抗)疗效差,野生型患者方可考虑使用;通常预示预后略差。NRAS突变:与KRAS类似,需避免抗EGFR治疗;是预后较差的指标。BRAF突变:V600E突变患者可从BRAF抑制剂联合方案中获益,非V600E突变仍可尝试抗EGFR治疗;BRAFV600E突变是强不良预后信号。PIK3CA突变:提示预后较差但程度较轻,目前无特异性抑制剂。患者服用阿司匹林可改善生存。下表汇总了关键基因变异与靶向治疗的对应关系,体现检测的临床分级与证据水平:检测技术平台与流程本中心的KNBP四基因联合检测采用ADx-ARMS®高灵敏度荧光PCR技术,灵敏度高、特异性强。试剂经国家药品监督管理局批准,质量可靠。检测周期短,≤5个工作日即可出具报告,满足临床时效需求。病理科作为实体瘤分子检测的“中枢”,负责样本处理、质量控制及结果解读,为治疗提供关键依据。检测结果示例与可视化以下为KNBP四基因联合检测的典型结果图示,涵盖内控、对照及突变样本,直观展示检测流程与输出:图1-6.结直肠癌人类KRAS/NRAS/PIK3CA/BRAF基因突变联合检测结果示例:1内控;2阳性对照;3阴性对照;4KRAS基因突变;5NRAS基因突变;6PIK3CA基因突变。结语KNBP四基因联合检测是结直肠癌精准治疗的“第一步”,也是关键一步。早检测、早明确、早受益,让我们携手为每一位患者量身定制最佳治疗路径,传递生命新希望。参考文献中华医学会病理学分会,国家病理质控中心,中国临床肿瘤学会(CSCO)结直肠癌专家委员会.结直肠癌分子病理检测临床实践指南(2025版)[J].中华病理学杂志,2025,54(5):448-462.陈功;王峰.结直肠癌分子检测高通量测序中国专家共识[J].临床肿瘤学杂志,2021,26(03):253-264.中国临床肿瘤学会指南工作委员会.中国临床肿瘤学会(CSCO)结直肠癌诊疗指南(2025版)[M].北京:人民卫生出版社,2025.中华人民共和国国家卫生健康委员会医政司,中华医学会肿瘤学会.国家卫生健康委员会中国结直肠癌诊疗规范(2025版)[M].北京:人民卫生出版社.2025.备注:本文在成稿后经由元宝大语言模型进行语言润色与逻辑优化,旨在提升表达的准确性与流畅性,核心观点与内容均由作者独立完成。‌‌
2024.04
01
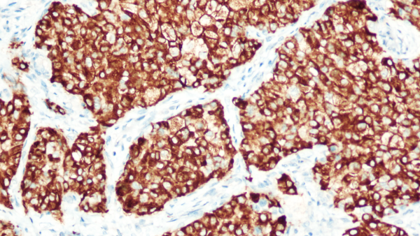
【精准锁定肺癌靶点 点亮靶向治疗之光】​ ——我中心病理科正式启动非小细胞肺癌ALK免疫组化检测
一、检测意义:肺癌治疗的"分子导航仪"肺癌是全球范围内最常见的恶性肿瘤,也是最主要的癌症致死原因,其中非小细胞肺癌(non-smallcelllungcancer,NSCLC)占肺癌80%-85%,其中约5.6%-7%存在间变性淋巴瘤激酶(AnaplasticLymphomaKinase,ALK)基因融合,在中国晚期NSCLC患者中ALK基因融合阳性率约为9.06%。ALK酪氨酸激酶抑制剂(tyrosinekinaseinhibitors,TKIs)靶向治疗可明显提高ALK基因融合晚期NSCLC患者的客观缓解率并延长无进展生存时间(progression-freesurvival,PFS),因此,ALK基因融合突变被称为“钻石突变”,其检测也被列为NSCLC病理标本的强推荐检测。关键临床价值​筛选克唑替尼/阿来替尼等靶向药物治疗获益人群;预测术后复发风险;指导围手术期治疗方案。二、适用人群:五大类患者精准覆盖根据《中国非小细胞肺癌ALK检测专家共识》:病理确诊为肺浸润性腺癌(包含腺癌成分)的患者;非腺癌晚期患者;术后复发转移病例​;年轻/不吸烟患者(ALK阳性率提升3倍);EGFR/KRAS阴性患者(排除其他驱动基因)。三、检测技术:Ventana-D5F3检测体系ALK基因融合可在多个分子水平上进行检测,包括荧光原位杂交(fluorescenceinsituhybridization,FISH)在DNA水平上检测ALK易位、即时荧光定量聚合酶链反应(realtimepolymerasechainreaction,RT-PCR)检测ALK融合mRNA、免疫组织化学(immunohistochemistry,IHC)检测ALK融合蛋白表达以及二代测序(next-generationsequencing,NGS)技术检测DNA水平上的易位序列或mRNA水平上的融合序列。目前,我国NMPA批准了4个技术平台的ALK基因检测伴随诊断试剂,包括ALKVentana-D5F3IHC、FISH、RT-PCR及NGS检测平台。研究结果显示,这4个技术平台检测试剂均具有较高的灵敏度和特异度。根据临床具体情况及实验室条件,我中心选择ALKVentana-D5F3IHC检测平台,近日正式开展工作。该平台的核心优势​如下:抗体特异性:D5F3抗体灵敏度95%-100%,特异度99%平台优势:全自动Ventana免疫组化染色系统判读标准:阳性:≥10%肿瘤细胞膜/胞质强染色阴性:无染色或<10%弱染色典型检测结果示例​图:肺腺癌ALK(Ventana-D5F3)染色呈阳性,左为中分化腺癌,右为低分化腺癌四、参考文献中国非小细胞肺癌ALK检测模式真实世界多中心研究专家组,中华医学会病理学分会分子病理学组.中国非小细胞肺癌ALK检测临床实践专家共识.中华病理学杂志,2019;48(12):913-920中国医师协会肿瘤医师分会中国医疗保健国际交流促进会肿瘤内科学分会.间变性淋巴瘤激酶酪氨酸激酶抑制剂治疗非小细胞肺癌指南(2025版).中华肿瘤杂志,2025;47(4):283-297孙伟臻;周宇桁;林耀彬等.ALK融合阳性非小细胞肺癌新辅助靶向治疗的进展.中国肺癌杂志,2024;27(11):849-854.李琳;李文才;武春燕等.中国晚期非小细胞肺癌间变性淋巴瘤激酶(ALK)重排检测的真实世界数据(RATICAL):一项全国多中心回顾性研究.癌症,2025;44(05):231-242.PoeiD,AliS,YeS,etal.ALKinhibitorsincancer:mechanismsofresistancetherapeuticmanagementstrategies.CancerDrugResist.2024;7:20.VoenaC,AmbrogioC,IannelliF,etal.ALKincancer:fromfunctiontotherapeutictargeting.NatRevCancer.2025;25(5):359-378.备注:本文在成稿后经由元宝大语言模型进行语言润色与逻辑优化,旨在提升表达的准确性与流畅性,核心观点与内容均由作者独立完成。‌‌
2023.08
01
【解码生命密码 绘制病理图谱】 ——病理科特殊染色技术揭开疾病奥秘的微观艺术
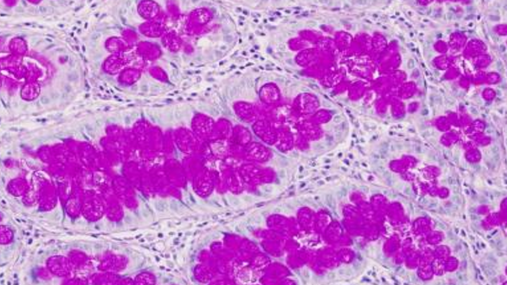
在医学探索的征程中,病理科始终是揭示疾病本质的关键力量。特殊染色技术作为组织化学的重要分支,犹如一位精密的"色彩解码师",让隐匿的病理真相在显微镜下绽放科学之光。特殊染色又称组织化学染色,是把组织学、细胞学和生物化学结合起来的一门染色技术,通过特定试剂与组织、细胞内的待检物质发生化学反应,从而对组织、细胞的化学成分进行定位和/或定量的染色技术,为疾病的诊断、治疗和预后评估提供有力支持。近日,我中心病理科重启特殊染色工作,目前常规开展6项核心项目:一、抗酸染色:该染色方法是病理科诊断结核病、麻风等感染性疾病的经典技术。通过特殊染料使结核分枝杆菌等抗酸杆菌呈现鲜红色,背景组织呈蓝色(图1),在显微镜下清晰可辨,具有操作简便,成本低廉,特异性高,结果直观的优势。二、过碘酸-雪夫氏(PeriodicAcid-Schiff,PAS)染色/反应:又称糖原染色,主要用于显示细胞内多糖成分,特别是糖原。通过特殊化学反应形成紫红色沉淀,可清晰显示糖原分布(图2),为临床提供重要的病理学诊断依据,是疾病诊断的主要辅助手段。三、弹力纤维染色:该染色主要用于显示组织中弹力纤维的空间分布(图3)。该技术广泛应用于心血管疾病诊断(如动脉硬化、动脉瘤)、恶性肿瘤血管侵犯和分期判读以及某些弹力纤维病变(如弹力纤维瘤)的诊断等。通过特异性染色使弹力纤维呈深紫色,可清晰观察纤维断裂、缺失或异常增生,为相关疾病的病理诊断提供重要形态学依据。四、网织纤维染色:该染色该染色主要用于显示组织中网状纤维的空间分布(图4)。该技术通过特异性黑色显色清晰呈现网状纤维支架结构,为病理诊断提供重要的形态学依据,尤其在上皮性肿瘤与间叶性肿瘤的鉴别诊断以及肿瘤浸润深度/范围判断中具有重要价值。五、胶体铁染色:该染色主要用于检测组织中的酸性黏多糖(黏蛋白)。该技术利用胶体铁与酸性黏多糖的特异性结合,生成普鲁士蓝沉淀(图5),为相关疾病提供重要的诊断依据,如羊水吸入诊断、分泌型脑膜瘤黏液物质鉴别以及各种含黏液病变的诊断与鉴别诊断,如嫌色细胞性肾细胞癌、肺泡蛋白沉积症等。六、刚果红染色:该染色主要用于检测淀粉样变性,通过特异性染色使淀粉样物质呈砖红色,在偏振光显微镜下呈现特征性的苹果绿色双折光(图6),是诊断淀粉样变性的经典方法,广泛应用于肾脏、心脏、肝脏等器官的淀粉样物质沉积检测,为临床提供重要的病理学诊断依据。【典型病例染色结果示例】【技术优势与临床价值】多维度检测:覆盖感染、代谢、肿瘤、结缔组织病等6大病理领域高特异性:每种染色针对特定化学成分,结果准确可靠经济高效:成本可控,适合中心常规工作中开展诊断互补:与常规HE形态、免疫组化及分子检测形成技术互补特殊染色技术作为病理诊断的传统技艺,在现代医学中依然焕发着勃勃生机。我中心病理科通过标准化操作流程与质控体系,确保每张染色切片都能成为临床诊断的可靠依据,让这门"色彩的科学"继续为疾病诊治照亮前路。参考文献中华医学会.临床技术操作规范·病理学分册[M].北京:人民军医出版社.2004.王伯沄,李玉松,黄高昇.病理学技术[M].北京:人民卫生出版社.2000.王德田,丁伟.实用现代病理学技术(第2版)[M].北京:中国协和医科大学出版社.2022.备注:本文在成稿后期经由元宝大语言模型进行语言润色与逻辑优化,旨在提升表达的准确性与流畅性,核心观点与内容均由作者独立完成。‌‌
2022.12
01
持续推动医疗质量提升,第三医学中心成功完成新病理信息系统切换
解放军总医院第三医学中心病理科积极响应该中心“医疗质量建设年”活动,以饱满的热情抓医疗质量建设,经过前期近3个月的准备工作,近日在医疗保障中心信息科派驻第三医学中心信息室强有力的后台支撑和维护下,顺利完成新旧信息系统切换。旧的病理信息系统从2012年6月开始使用,之后由于种种原因运行不畅,存在医疗安全隐患。中心杨海伟主任、于兰河政委高度关注,卫勤部和派驻信息室积极推动病理信息系统建设。病理科郭爱桃主任曾在第一医学中心病理科工作24年,具有丰富的病理信息系统建设经验,共同推动该项工作。2021年11月18日,第三医学中心病理信息系统建设工作正式启动,在派驻信息室大力支持和协调下,两名工程师入驻病理科,历时3个月完成了各种硬件和软件的准备、24个点位的网络铺设、8个系统的对接、18余万例老旧病例的数据迁移以及病理信息系统软件的修订。在整个软件系统修订期间,病理科全员参与,积极出谋划策,病理科主任郭爱桃、医生组组长陈迪主治医师、技术组组长范军振主管技师和两名工程师连续3周加班加点,每天工作到深夜,共提出需求及修订建议253条,涉及9大功能模块。经过一周试运行,新系统软、硬件各方面条件都平稳良好,于3月底成功完成切换。新病理信息系统启用后,既往长期解决不了的临床问题陆续得以解决:术中冰冻病理检查真正实现了快速、规范和安全操作;常规大病理诊断实现有效整合;所有病理诊断内容实时回传到HIS系统,在PRIDE系统中可同步看到报告内容;在解放军总医院原病理信息系统框架上率先将宫颈脱落细胞学检查和外院病理切片会诊加入新系统中,实现了患者在第三医学中心就诊期间进行的所有病理检查结果都能够回传到HIS系统中,包括活体组织检查、细胞学检查、外院切片会诊以及尸体解剖4大类病理检查,真正实现了病理信息系统的全面、完整。新系统的运行对病理科医疗工作有序、顺畅、规范、安全运行提供了有力保障,推动第三医学中心病理检查质量不断提高。下一步可在总医院其他七个医学中心进行推广,为总医院多中心病理信息互联互通打下良好基础。来自解放军总医院公众号第1519期https://mp.weixin.qq.com/s/-aou-Ug_hmIJ6Jr8SENHrg
2022.04
24
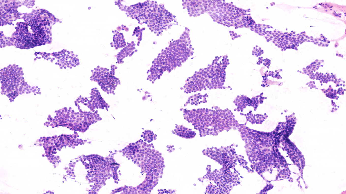
【结节一针见分晓 FNA 镜下疑虑消】 ——我中心病理科重启甲状腺细针穿刺细胞学检查
业务介绍甲状腺肿瘤时内分泌系统最常见的肿瘤之一,近30年来我国甲状腺癌发病人数以每年20%的速度持续增长,上升为我国癌症发病率的第7位。超声引导下的细针穿刺(fineneedleaspiration,FNA)细胞学诊断是评估甲状腺结节良恶性的重要方法,术前行超声引导下FNA可有效提高甲状腺手术恶性肿瘤的比例,避免不必要的手术。依托超声科高分辨率超声引导系统与资深穿刺团队以及病理科标准化技术流程与专业的诊断团队,我中心病理科近日正式重启甲状腺FNA细胞学检查与诊断工作!我们将以更规范的流程、更精准的判读,为甲状腺结节良恶性鉴别提供“金标准”依据。典型病例图片展示参考文献LiuZ,SuiS,SuP,etal.Theeffectofimplementingpre‑surgicalultrasound‑guidedfine‑needleaspirationbiopsyonthyroidsurgery,a6‑yearinterruptedtimeseriesanalysisinQiluHospitalofShandongUniversity[J].GlandSurg,2020,9(5):1716‑1723.DOI:10.21037/gs‑20‑348.LiuZ,LiuD,MaB,etal.Historypracticeofthyroidfine‑needleaspirationinChina,basedonretrospectivestudyofthepracticeinShandongUniversityQiluHospital[J].JPatholTranslMed,2017,51(6):528‑532.DOI:10.4132/jptm.2017.09.12.CibasES,AliSZ.TheBethesdaSystemforreportingthyroidcytopathology[J].AmJClinPathol,2009,132(5):658‑665.DOI:10.1309/AJCPPHLWMI3JV4LA.KakudoK,HiguchiM,HirokawaM,etal.ThyroidFNAcytologyinAsianpractice‑Activesurveillanceforindeterminatethyroidnodulesreducesovertreatmentofthyroidcarcinomas[J].Cytopathology,2017,28(6):455‑466.DOI:10.1111/cyt.12491.
2020.08
20
1 2 3