【结节一针见分晓 FNA 镜下疑虑消】
——我中心病理科重启甲状腺细针穿刺细胞学检查
来源:病理科 作者:郭爱桃 编辑:郭爱桃 时间:2020-08-20
业务介绍
甲状腺肿瘤时内分泌系统最常见的肿瘤之一,近30年来我国甲状腺癌发病人数以每年20%的速度持续增长,上升为我国癌症发病率的第7位。超声引导下的细针穿刺(fine needle aspiration,FNA)细胞学诊断是评估甲状腺结节良恶性的重要方法,术前行超声引导下FNA可有效提高甲状腺手术恶性肿瘤的比例,避免不必要的手术 。
依托超声科高分辨率超声引导系统与资深穿刺团队以及病理科标准化技术流程与专业的诊断团队,我中心病理科近日正式重启甲状腺FNA细胞学检查与诊断工作!我们将以更规范的流程、更精准的判读,为甲状腺结节良恶性鉴别提供“金标准”依据。
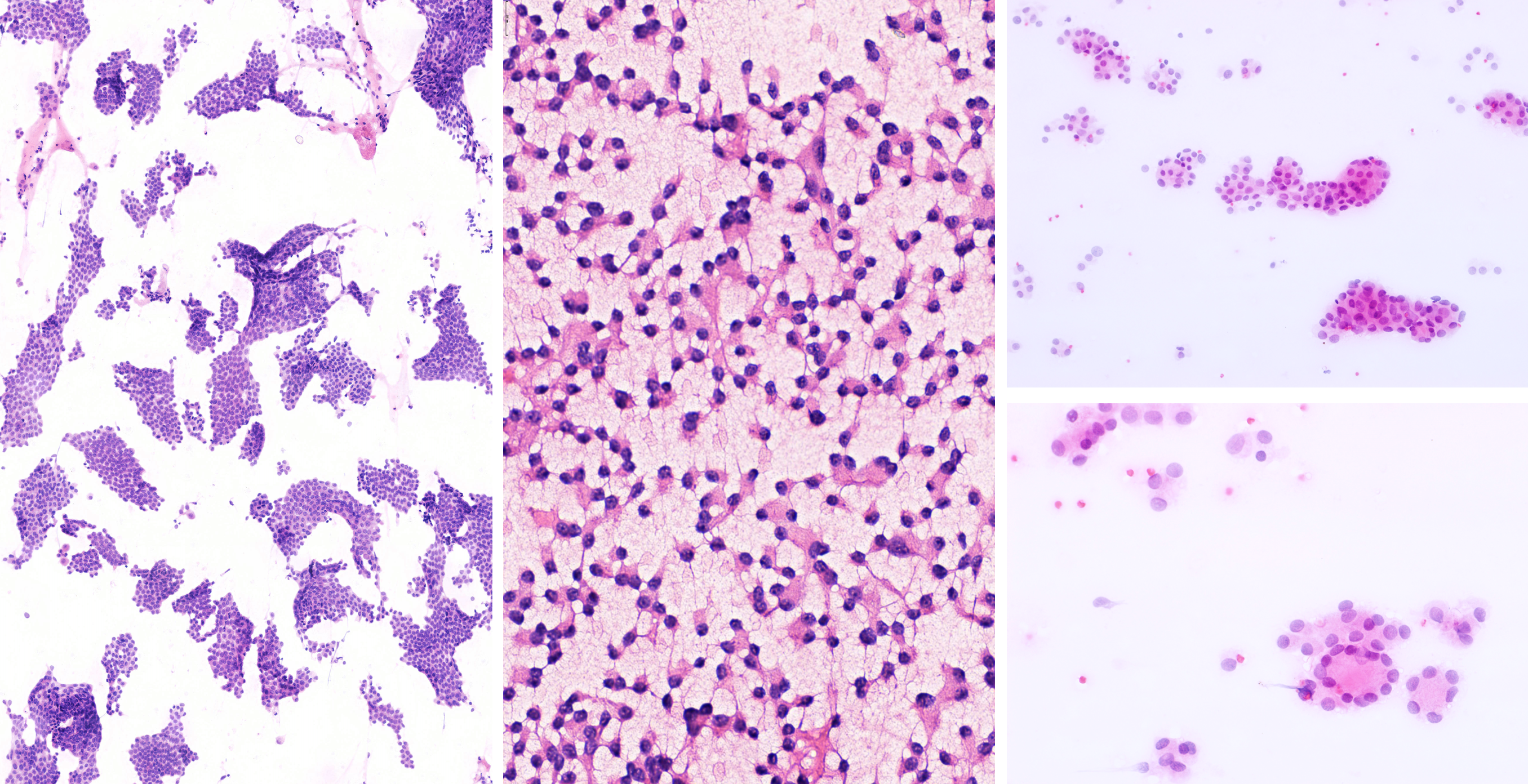
典型病例图片展示

参考文献
- Liu Z, Sui S, Su P, et al. The effect of implementing pre‑surgical ultrasound‑guided fine‑needle aspiration biopsy on thyroid surgery, a 6‑year interrupted time series analysis in Qilu Hospital of Shandong University[J]. Gland Surg, 2020, 9(5): 1716‑1723. DOI: 10.21037/ gs‑20‑348.
- Liu Z, Liu D, Ma B, et al. Historypractice of thyroid fine‑needle aspiration in China, based on retrospective study of the practice in Shandong University Qilu Hospital [J]. J Pathol Transl Med, 2017, 51(6): 528‑532. DOI: 10.4132/jptm.2017.09.12.
- Cibas ES, Ali SZ. The Bethesda System for reporting thyroid cytopathology[J]. Am J Clin Pathol, 2009, 132(5):658‑665. DOI: 10.1309/AJCPPHLWMI3JV4LA.
- Kakudo K, Higuchi M, Hirokawa M, et al. Thyroid FNA cytology in Asian practice‑Active surveillance for indeterminate thyroid nodules reduces overtreatment of thyroid carcinomas[J]. Cytopathology, 2017, 28(6): 455‑ 466. DOI: 10.1111/cyt.12491.