一、检测意义:肺癌治疗的"分子导航仪"
肺癌是全球范围内最常见的恶性肿瘤,也是最主要的癌症致死原因,其中非小细胞肺癌(non-small cell lung cancer, NSCLC)占肺癌80%-85%,其中约5.6%-7%存在间变性淋巴瘤激酶(Anaplastic Lymphoma Kinase,ALK)基因融合,在中国晚期NSCLC患者中ALK基因融合阳性率约为9.06%。ALK酪氨酸激酶抑制剂(tyrosine kinase inhibitors, TKIs)靶向治疗可明显提高ALK基因融合晚期NSCLC患者的客观缓解率并延长无进展生存时间 (progression-free survival, PFS),因此,ALK基因融合突变被称为“钻石突变”,其检测也被列为NSCLC病理标本的强推荐检测。
关键临床价值
二、适用人群:五大类患者精准覆盖
根据《中国非小细胞肺癌ALK检测专家共识》:
三、检测技术:Ventana-D5F3检测体系
ALK基因融合可在多个分子水平上进行检测,包括荧光原位杂交 (fluorescence in situ hybridization, FISH) 在DNA水平上检测ALK易位、即时荧光定量聚合酶链反应 (real time polymerase chain reaction, RT-PCR) 检测ALK融合mRNA、免疫组织化学 (immunohistochemistry, IHC) 检测ALK融合蛋白表达以及二代测序 (next-generation sequencing, NGS) 技术检测DNA水平上的易位序列或mRNA水平上的融合序列。目前,我国NMPA批准了4个技术平台的ALK基因检测伴随诊断试剂,包括ALK Ventana-D5F3 IHC、FISH、RT-PCR及NGS检测平台。研究结果显示,这4个技术平台检测试剂均具有较高的灵敏度和特异度。根据临床具体情况及实验室条件,我中心选择ALK Ventana-D5F3 IHC检测平台,近日正式开展工作。该平台的核心优势如下:

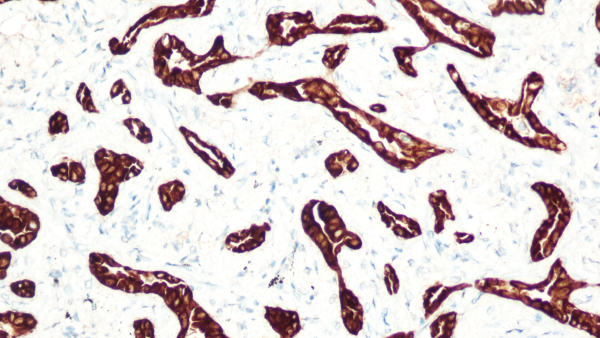
图:肺腺癌ALK (Ventana-D5F3)染色呈阳性,左为中分化腺癌,右为低分化腺癌
四、参考文献
备注:本文在成稿后经由元宝大语言模型进行语言润色与逻辑优化,旨在提升表达的准确性与流畅性,核心观点与内容均由作者独立完成。