一、检测背景
随着全球首款靶向Claudin18.2(CLDN18.2)的抗体药物佐妥昔单抗在国内外上市,胃癌治疗进入精准靶向新时代。中国临床肿瘤学会(Chinese Society of Clinical Oncology,CSCO)、美国国立综合癌症网络(National Comprehensive Cancer Network, NCCN)、欧洲肿瘤内科学会(European Society of Medical Oncology,ESMO)等权威指南以及《胃癌Claudin18.2临床检测专家共识(2025版)》均推荐对胃/胃食管交界处(Gastroesophageal junction,GEJ)腺癌进行CLDN18.2检测,为精准筛选靶向治疗获益人群提供关键依据,为晚期胃癌患者带来新的生存希望[1-3]。研究证实约40%的胃/GEJ腺癌患者为CLDN18.2阳性表达,提示这部分患者可能从靶向治疗中获益,其中接受佐妥昔单抗联合化疗方案的患者,疾病进展或死亡风险降低25%至31%,显著延长无进展生存期和总生存期。在胃癌的临床实践中,CLDN18.2免疫组织化学(immunohistochemistry,IHC)检测已成为评估抗CLDN18.2靶向治疗适用性的重要手段。
二、适用人群(主要包括但不限于)
- 初治晚期胃/胃食管交界处腺癌患者;
- HER2阴性寻求新靶向治疗机会者;
- 传统治疗效果不佳的难治性患者。
三、技术保障
- 检测抗体:Claudin18.2(43-14A)。
- 检测平台:Ventana全自动免疫组化仪。
- 判读标准:严格按照《胃癌Claudin18.2临床检测专家共识(2025版)》强推荐的判读标准,将≥75%的肿瘤细胞具有2+/3+强度膜染色判读为阳性/高表达,并出具明确的阳性/阴性及具体表达水平的报告,如“Claudin18.2阳性(3+,90%)”、“Claudin18.2阴性(2+,30%)”等。
四、检测结果判读示例

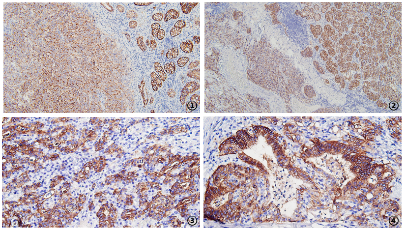
图 ①-④ 胃腺癌肿瘤细胞及周围正常黏膜腺体Claudin18.2的表达情况 ① 非肿瘤性胃黏膜腺体(右半部分)为细胞膜强阳性着色,肿瘤细胞(左半部分)呈2+细胞膜环形阳性着色;② 非肿瘤性胃黏膜腺体(右半部分)为细胞膜强阳性着色,肿瘤细胞(左半部分)呈2+细胞膜基底外侧/外侧阳性着色;③、④ 肿瘤细胞呈3+细胞膜环形阳性着色
参考文献:
- 《胃癌Claudin18.2临床检测专家共识(2025版)》专家委员会. 胃癌Claudin18.2临床检测专家共识(2025版)[J]. 中华病理学杂志, 2025; 54(7): 718-725. doi: 10.3760/cma.j.cn112151-20250408-00245.
- Shitara K, Lordick F, Bang YJ, et al. Zolbetuximab plus mFOLFOX6 in patients with CLDN18.2-positive, HER2-negative, untreated, locally advanced unresectablemetastatic gastricgastro-oesophageal junction adenocarcinoma (SPOTLIGHT): a multicentre, randomised, double-blind, phase 3 trial. Lancet, 2023; 402(10398): 1655-1668. PMID: 37068504. doi: 10.1016/S0140-6736(23)00620-7.
- Shah MA, Shitara K, Ajani JA, et al. Zolbetuximab plus CAPOX in CLDN18.2-positive gastricgastroesophageal junction adenocarcinoma: the randomized, phase 3 GLOW trial. Nat Med, 2023; 29(8): 2133-2141. PMID: 37524953. doi: 10.1038/s41591-023-02465-7.
备注:本文在成稿后经由元宝大语言模型进行语言润色与逻辑优化,旨在提升表达的准确性与流畅性,核心观点与内容均由作者独立完成。