请输入关键字
确定
首页
中心概况
信息发布
我是患者
延伸阅读
首页
中心概况
信息发布
我是患者
延伸阅读
首页
中心概况
中心简介
新闻资讯
科研教学
医护风采
信息发布
人才招聘
四生招生
招标采购
中心公告
我是患者
患者服务
门诊服务
住院服务
健康宣教
健康体检
满意度测评
交通引导
远程医疗
生活服务
延伸阅读
光辉历程
特色文化
品牌荣誉
全站导航
病理科
科室以泌尿男生殖系统病理诊断为特色,同时建立有女性生殖系统、宫颈细胞学、甲状腺细针穿刺细胞学、乳腺、消化系统、头颈部及胸部病理等多个亚专科。现有活检、术中冰冻、细胞学、免疫组化、特染及分子病理等多个实验室,年均病理检查量27000余例。具有40余项北京市及PQCC等室间质评合格证书,国家癌症中心8个项目的单病种病理诊断能力验证合格证书。承担多所医学院校实习生及进修生培养,以规范化培训、导师制及“三全”育人模式获院校好评。
更多
科室主任
郭爱桃
职称:主任医师 副教授
从事病理诊断、教学及科研工作30年,专业方向:泌尿与男性生殖系统病理;擅长泌尿与生殖系统肿瘤等疾病、腹膜黏液性肿瘤及心血管疾病病理诊断。
更多
高职专家
更多
郭爱桃
职称:主任医师 副教授
舒清明
职称:副主任医师
刘静
职称:副主任医师
陈迪
职称:主治医师
李岚
职称:主治医师
张婉琳
职称:主治医师
健康科普
创新技术
2025-12-16
补充特殊病理检查流程
2025-12-16
外院病理切片会诊流程
2025-12-16
借/还病理切片流程
2025-12-16
切白片申请流程
更多
2025-07-01
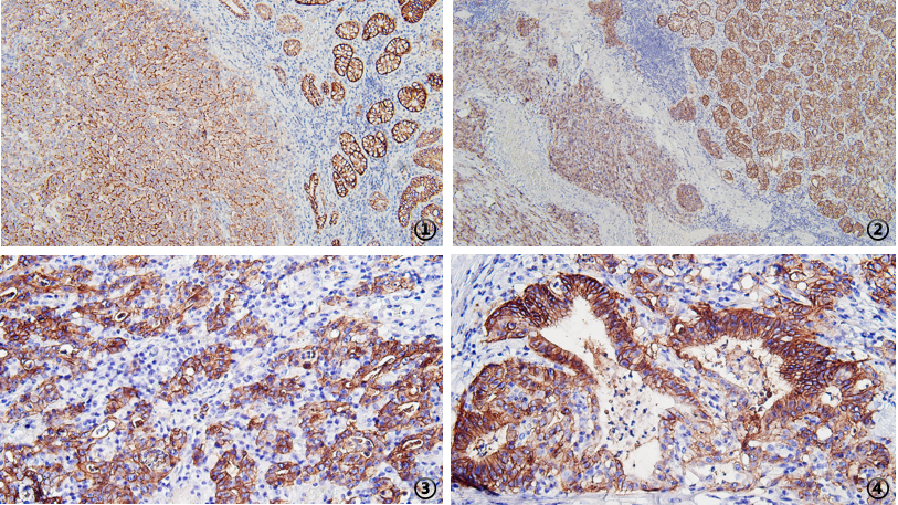
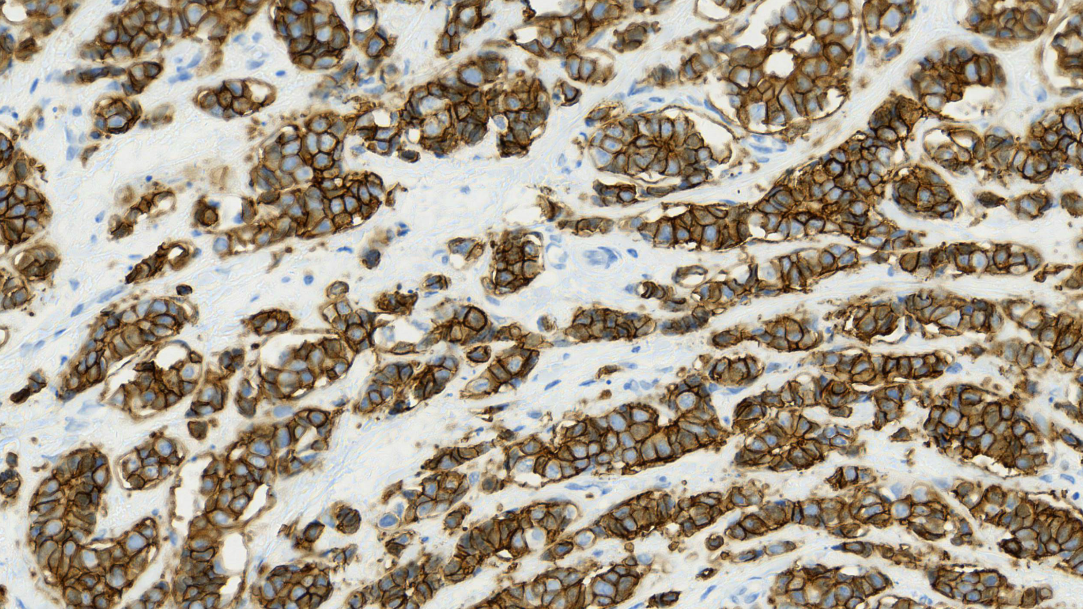
【精准检测新突破 胃癌治疗新选择】 ——我中心病理科正式开展Claudin 18.2免疫组化检测
2024-11-01
【精准施治 精准抗癌】 ——我中心病理科正式开展尿路上皮癌PD-L1(SP263)免疫组化检测
2024-05-04
【靶向治疗先行者 基因检测金标准】 ——我中心病理科正式开展HER-2基因FISH检测
2024-04-02
【BRAF V600E检测 甲状腺癌个体化护航】 ——我中心病理科正式开展甲状腺癌BRAF V600E基因检测
更多