请输入关键字
全站导航
除了恶性肿瘤,纵隔淋巴结肿大还可能是这种病!
时间:2026-03-05

小李喜爱运动,但最近莫名其妙出现干咳,拍了个胸部CT发现了“双肺多发结节”,这令他感到十分困惑;王大妈年过花甲,身体硬朗,但体检报告赫然写着“纵隔多发淋巴结肿大,不除外肺癌伴纵隔淋巴结转移”,四处求医使她和儿女心力憔悴。他们不约而同地求助于气管镜室,分别进行了支气管镜下活检和EBUS-TBNA术取病理,最后都确诊为“结节病”。排除了恶性肿瘤,他们和家人悬着的心都放了下来。然而,什么是“结节病”呢?

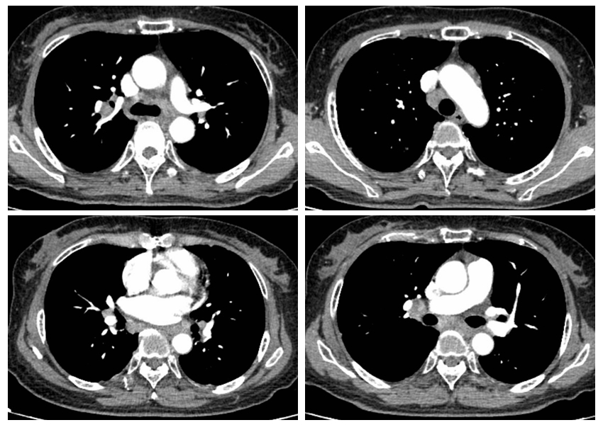
图片1.png 

 结节病是一种原因不明的系统性肉芽肿性疾病,损害部位以肺部和胸内淋巴结最常见,也包括皮肤、眼睛、关节、神经系统、心脏和全身其他部位。大约1/3患者可有非特异性症状,如干咳、发热、乏力、体重下降、关节痛等。其他症状还包括皮疹、视物模糊、心律不齐、肌肉或骨骼疼痛等。结节病的胸部影像学最典型表现是肺门和纵隔对称性的淋巴结肿大,需要与肺结核、肺恶性肿瘤的淋巴结转移、淋巴瘤等疾病相鉴别。

结节病的诊断比较复杂,部分患者可能会被怀疑为恶性肿瘤。医生需要综合考虑患者的临床表现、血清学检查、影像学特征以及受累部位病理结果进行确诊。这其中,病理组织显示非干酪样坏死性上皮样细胞肉芽肿是诊断的重要一环,而气管镜室团队的任务就是帮助患者取得病变组织送检。

凭借多年的临床实践,气管镜室团队已累积了丰富的结节病诊断经验。每年确诊结节病患者占气管镜检查患者总数的5-10%。我们会为每位患者进行术前讨论,制定相应的诊疗方案。其中,最常用的手段是EBUS-TBNA(超声支气管镜引导的经支气管针吸活检术)。医生通过它可以在内镜下利用超声定位病变淋巴结,穿刺进行针吸活检获取病理组织,同时避开血管保证患者的安全。此外,部分结节病患者的支气管腔内可能出现针尖样的小结节,此时可以通过局部活检来获取病理组织。

 结节病是一种良性疾病,总体预后良好。但需使用激素治疗的患者复发率较高,因此需要每3-6个月复查一次。对于IV期或者有心脏、中枢神经系统等重要肺外脏器受累的结节病患者,建议长期随访。

(                                                                                                                                                                                                   转自解放军总医院官网)