请输入关键字
全站导航
胃间质瘤-胃窗声学造影剂
作者:陈颖颖 时间:2026-03-05

胃部B超属于非创伤性诊断方法,优势是声速能穿透胃壁,从而可以显示胃壁层结构。使用的造影剂在临床上被称为胃窗声学造影剂,它的外观为淡黄色或黄色粉末固体,主要是以食用米类、豆类等植物性食物作为原材料制作而成的,造影剂在服用后并不会带来不适,也不会产生不良反应,在身体会快速被代谢。

一、技术特点:

  1. 在服用造影剂时只要将它倒入杯中并且加入200ml左右温开水搅拌均匀后再加水500ml备用,再检查时只要将调制好的造影剂服用下去让胃部盆腔充盈,就能在B超扫描检查下清晰看到胃部外层结构以及周围器官来诊断是否存在炎症及其它问题。
  2. 效果明显,即刻引流出液体,改善患者症状,对于特殊人群(老年、体弱、妊娠期等)意义更重大。
  3. 采用局部麻醉即可完成,创伤小,耗时短。

二、适应证:

  1. 持续存在胃部不适症状,如食欲不振、消化不良、胃部闷胀等,特别是在服用药物后得不到缓解时,要做检查。
  2. 大便变黑,当胃出血或者存在肿瘤时胃黏膜组织会受到伤害,导致组织黏膜有出血现象,会使粪便变黑,导致大便出血。
  3. 出现不明原因的贫血。
  4. 体重短时间下降。

三、禁忌证及注意事项:

1. 临床禁食患者禁用。

2. 受检者前一天晚餐进软食或,8-12h禁食和水,通常在上午空腹时检查。

3. 重复口服本造影剂,必须间隔2h以上;糖尿病患者使用无糖造影剂。

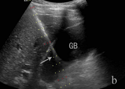
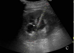
 胆管穿刺置管-                                                                                                                         a超声引导胆管穿刺置管引流              b 超声引导胆囊穿刺置管引流                 c超声引导肾盂穿刺置管引流